Porcelain Crowns
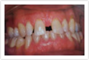
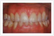
Applied Procedures: Porcelain Crowns
P9978_ss4649bs_t P9978_ss4649ys_t
Before Photo After Photo
Applied Procedures: Porcelain Crowns
P9978_ss4650bs_t P9978_ss4650ys_t
Before Photo After Photo
Applied Procedures: Porcelain Crowns, Dental Bridges
P9978_ss4651bs_t P9978_ss4651ys_t
Before Photo After Photo